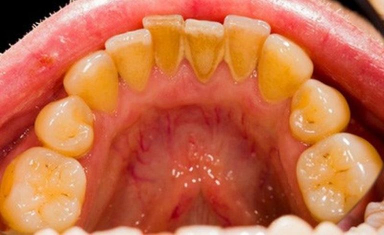
Keluhan Gigi Ancaman Tak Terlihat, Kenali Apa itu Erosi Gigi dan Cara Atasinya Erosi gigi terjadi ketika lapisan luar gigi yang disebut enamel mengalami proses pengikisan terus-menerus. Enamel merupakan lapisan bertekstur … Post by drg Nila Afrdrian Febrianty3 August 20226 min read