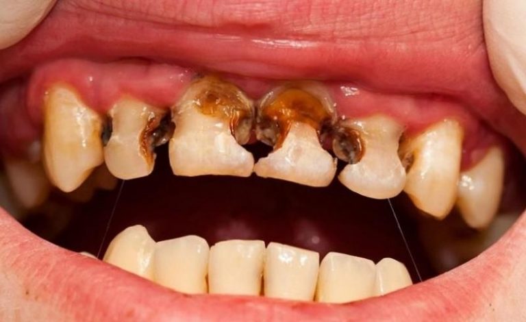
Cara menghilangkan gigi hitam ada bermacam-macam. Pada penerapannya, menghilangkan gigi hitam perlu disesuaikan dengan penyebabnya juga. Dengan mengetahui …
Cara menghilangkan gigi hitam ada bermacam-macam. Pada penerapannya, menghilangkan gigi hitam perlu disesuaikan dengan penyebabnya juga. Dengan mengetahui …
WhatsApp us