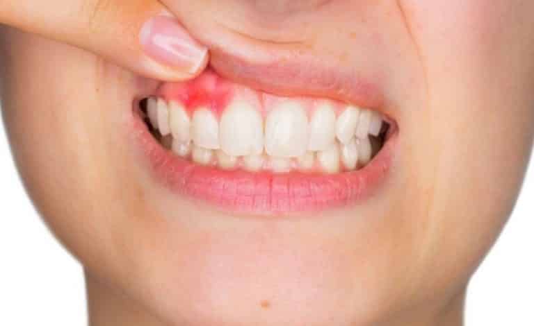
Benjolan di gusi adalah salah satu indikasi ada sesuatu yang tidak beres terutama dalam aspek kesehatan mulut. Sayangnya, …
Benjolan di gusi adalah salah satu indikasi ada sesuatu yang tidak beres terutama dalam aspek kesehatan mulut. Sayangnya, …
WhatsApp us