Veneer menjadi salah satu cara untuk memperbaiki estetika gigi sehingga terlihat lebih menarik. Pemasangannya dilakukan dengan menggunakan berbagai …
Veneer menjadi salah satu cara untuk memperbaiki estetika gigi sehingga terlihat lebih menarik. Pemasangannya dilakukan dengan menggunakan berbagai …
Ada banyak upaya yang dapat Anda lakukan untuk mendapatkan gigi putih dan cemerlang. Anda bisa memilih perawatan gigi …
Bau mulut adalah tanda pasti dari mulut yang tidak sehat. Meskipun kamu mungkin berharap solusi kedokteran gigi kosmetik …
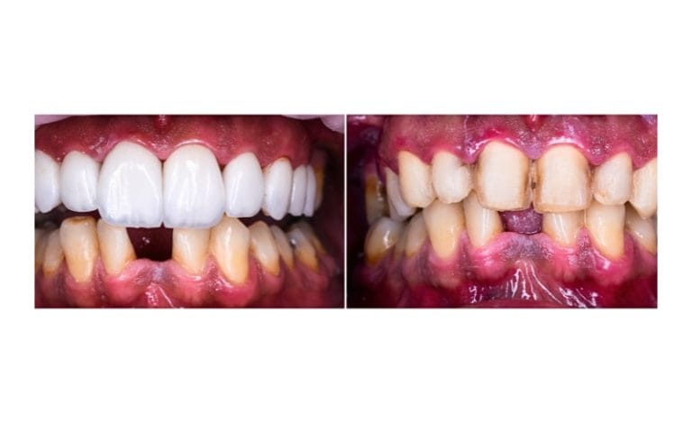
Pemasangan veneer gigi mempunyai tujuan utama untuk memperbaiki penampilan. Dengan begitu, kamu bisa percaya diri ketika tersenyum lebar. …
Terlepas dari harga pasang veneer gigi yang bisa mencapai jutaan rupiah, prosedur ini memiliki cukup banyak peminat. Ini …
WhatsApp us