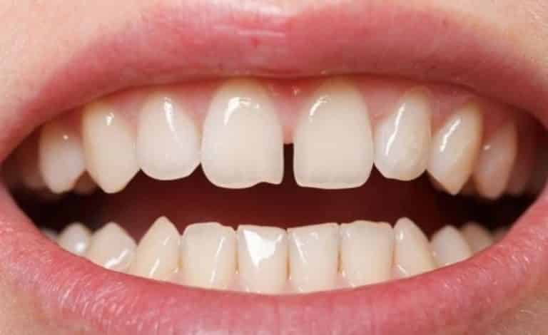
Siapa nih yang sering merasa tidak pede karena punya gigi yang renggang? Ternyata ada lho cara mudah untuk …
Siapa nih yang sering merasa tidak pede karena punya gigi yang renggang? Ternyata ada lho cara mudah untuk …
Sejak kecil, Anda pasti sudah diajarkan cara menggosok gigi dengan baik dan benar. Namun entah kenapa, banyak di …
Teknologi untuk merapikan gigi menggunakan kawat (behel) memang semakin populer. Salah satu pemicunya adalah tayangan telenovela yang mengudara …
Tambal gigi merupakan salah satu prosedur perawatan kesehatan gigi dan mulut paling populer. Orang Amerika Serikat pada umumnya …
Pernahkah Anda mendengar istilah Invisalign pada gigi? Istilah ini merujuk pada sebuah alat yang digunakan untuk merapikan gigi …
WhatsApp us