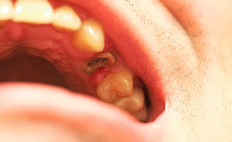
Perawatan saluran akar gigi, atau yang lebih dikenal dengan istilah root canal, sering kali dianggap sebagai prosedur yang …
Perawatan saluran akar gigi, atau yang lebih dikenal dengan istilah root canal, sering kali dianggap sebagai prosedur yang …
Akar gigi adalah bagian dari gigi yang terletak di bawah gusi dan menopang gigi ke dalam tulang rahang. …
WhatsApp us